컨텐츠 목차 바로가기

무삭제 라미네이트 가격과 부작용
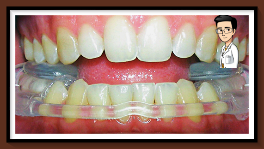
무삭제 라미네이트는 치아의 자연스러운 모양과 색상을 유지하면서 미적 개선을 목표로 하는 치과 시술입니다. 이 시술은 기존의 치아를 거의 또는 전혀 삭제하지 않고 얇은 세라믹 쉘을 치아 표면에 부착하는 방식으로 진행됩니다. 이러한 방식은 치아의 자연 구조를 최대한 보존하면서도 미적인 개선을 도모할 수 있는 장점이 있습니다.
무삭제 라미네이트의 가격
무삭제 라미네이트의 가격은 다양한 요인에 따라 달라질 수 있습니다. 일반적으로 가격은 치과의 위치, 사용하는 재료의 품질, 시술의 복잡성 등에 따라 결정됩니다. 2024년 기준으로 무삭제 라미네이트의 가격은 대략 40만 원에서 100만 원 사이로 알려져 있으며, 일부 고급 시술의 경우 그 이상의 비용이 발생할 수도 있습니다. 강남구와 같은 지역에서는 더 높은 가격대를 보이는 경향이 있습니다.



무삭제 라미네이트의 부작용
무삭제 라미네이트는 치아를 보존하는 방식이기 때문에 전통적인 라미네이트에 비해 치아 삭제와 관련된 부작용을 최소화할 수 있습니다. 그러나 이 시술에도 몇 가지 주의해야 할 부작용이 있습니다. 첫째, 라미네이트가 파손되거나 탈락할 위험이 있으며, 이 경우 재부착이 필요할 수 있습니다. 둘째, 시술 과정에서 치아의 신경이 노출되어 치아 민감성이 증가할 수 있습니다. 셋째, 잘못된 시술이나 관리 부족으로 인해 잇몸 문제가 발생할 수 있으며, 이는 장기적인 구강 건강에 영향을 줄 수 있습니다.
관리 및 유지
무삭제 라미네이트의 성공적인 결과를 유지하기 위해서는 적절한 구강 위생 관리가 필수적입니다. 정기적인 치과 검진과 함께, 일상적인 칫솔질과 치실 사용을 통해 라미네이트 주변의 청결을 유지해야 합니다. 또한, 하드한 음식을 피하고, 라미네이트가 손상될 수 있는 습관(예: 이를 악물기)을 피하는 것이 좋습니다.
무삭제 라미네이트는 치아의 자연스러운 미를 보존하면서도 미적 개선을 제공할 수 있는 효과적인 방법입니다. 그러나 이 시술을 고려하기 전에는 가격, 가능한 부작용, 그리고 장기적인 관리 요구사항을 충분히 고려해야 합니다.
https://www.youtube.com/watch?v=vAnmAsFtgoE
블랙필름 무삭제라미네이트 비용
블랙필름 무삭제라미네이트는 최근 치과 미용 분야에서 주목받고 있는 혁신적인 기술입니다. 이 기술은 기존의 라미네이트 시술의 단점을 보완하여 개발된 것으로, 치아의 삭제 없이도 미백과 형태 교정이 가능합니다. 블랙필름 무삭제라미네이트의 비용과 관련된 정보를 자세히 다루어 보겠습니다.
블랙필름 무삭제라미네이트란?
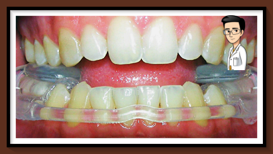
블랙필름 무삭제라미네이트는 치아의 자연스러운 색과 형태를 최대한 보존하면서 미백 및 형태 교정을 할 수 있는 시술입니다. 이 시술은 Bespoke Laminate with Casting-tek Film의 약자로, 맞춤형 주조 기술이 집약된 무삭제 라미네이트 전용 필름을 사용합니다. 이 필름은 치아를 깎지 않고도 0.1mm 두께의 세라믹을 치아 겉면에 부착하여 미백과 형태 교정을 가능하게 합니다.



비용 구조
블랙필름 무삭제라미네이트의 비용은 다양한 요인에 따라 결정됩니다. 일반적으로, 이 시술은 수작업으로 진행되며, 치아당 비용은 약 50만원에서 80만원 사이입니다. 이 비용은 치과의 위치, 의료진의 경험 및 숙련도, 사용되는 재료의 품질에 따라 달라질 수 있습니다.
비용 대비 효과
블랙필름 무삭제라미네이트는 비용이 높은 편이지만, 그만큼의 가치가 있는 시술입니다. 첫째, 치아를 삭제하지 않기 때문에 치아의 건강을 유지할 수 있습니다. 둘째, 매우 얇은 필름을 사용하기 때문에 자연 치아와 거의 동일한 느낌을 유지할 수 있으며, 시술 후 자연스러운 미백 효과를 얻을 수 있습니다. 셋째, 블랙필름은 반영구적으로 사용 가능하여 장기적인 비용 효율성도 뛰어납니다.
주의사항
비용을 결정하기 전에 몇 가지 주의사항을 고려해야 합니다. 첫째, 시술을 받기 전에 충분한 상담을 통해 자신의 치아 상태와 기대할 수 있는 결과에 대해 정확히 이해해야 합니다. 둘째, 시술을 진행할 치과의 신뢰도와 의료진의 경험을 꼼꼼히 확인해야 합니다. 셋째, 블랙필름 무삭제라미네이트는 기술적으로 요구되는 사항이 많기 때문에, 시술 후에도 정기적인 검진을 통해 최적의 상태를 유지하는 것이 중요합니다.
블랙필름 무삭제라미네이트는 치아 미백 및 형태 교정을 원하는 이들에게 탁월한 선택이 될 수 있습니다. 비용이 다소 높을 수 있지만, 장기적으로 볼 때 치아의 건강을 유지하고 자연스러운 미적 효과를 누릴 수 있는 투자가 될 것입니다.
https://www.youtube.com/watch?v=hV3UoeZ0SPE
🔻추천 컨텐츠🔻
라미네이트 후회한다? 블랙필름 무삭제라미네이트는? - 메디컬 선데이
라미네이트 후회한다?
medicalsunday.com
✅치아보험 필요한가, 인레이 비교사이트 추천
✅어금니 치아 임플란트 가격 : 안하면 나타나는 문제점
✅임플란트 비용: 의료보험 적용 범위와 여부는?2024 완벽 가이드
✅신경치료 비용과 과정 6단계, 기간은 얼마나 걸릴까?



참고자료 일부)
'건강 정보' 카테고리의 다른 글
| 여성 탈모 치료 방법과 모발이식, 정수리 탈모 원인 (0) | 2024.05.26 |
|---|---|
| 덧니 발치와 라미네이트, 치아 교정 비용과 기간 (0) | 2024.05.21 |
| 노안 스마일 라식수술 비용, 50대 수술 좋을까? 부작용은? (0) | 2024.05.19 |
| 심근경색 예방법과 급성심근경색 전조증상 및 후유증 (1) | 2024.05.18 |
| 스마일라식 나이와 회복기간, 군인일때 라식 라섹 괜찮을까? (0) | 2024.05.07 |
